Ruột dư
(vermiform appendix) hình như con sâu, thân hẹp, dài khoảng 3 inches
(7.5 cm), bám vào đầu ruột già nằm phía bụng dưới bên phải. Giá
nó đặc thì không sao nhưng khổ nỗi lòng nó lại rỗng, ăn thông với lòng
của ruột già qua một lỗ nhỏ. Cớ sự chính ở chỗ đó, do nếu có gì (như một
miếng phân nhỏ chẳng hạn) trên bước đường phiêu du từ ruột non sang
ruột già lỡ lọt vào lòng nó là ta có chuyện. Hoặc một hạch bạch huyết
trong lòng nó to lên (lymphoid follicle hyperplasia) cũng khiến lòng nó
tắc nghẽn, nó sưng lên. Người có giun kim, giun đũa hoặc sán Taenia
trong ruột có thể bất chợt sưng ruột dư do giun, sán bò vào lòng ruột dư
nằm chơi.
Sưng
ruột dư (Appendicitis)là một trong những nguyên nhân hay làm chúng ta đau bụng cấp
tính rồi bác sĩ phải đem ta đi mổ. Trẻ, già, nam, nữ, nó chẳng tha ai
song nó hay xảy ra nhất cho người trẻ trong hạn tuổi thanh xuân khoảng
mười mấy hai mươi mấy. Sưng ruột dư hiếm khi đến thăm các trẻ em dưới 1
tuổi. Hàng năm ở Mỹ, có 250.000 trường hợp sưng ruột dư xảy ra.
Khi
ruột dư mới sưng trong vòng 24 tiếng đầu chưa kịp bể ra, xì mủ vào
trong bụng thì định bệnh được ngay và đem mổ, tốt lắm. Song nếu nó đã
bể, mủ đã vào bụng, vấn đề trở thành trầm trọng, nhiêu khê hơn nhiều.
Khổ cái, sự định bệnh thường muộn do chỉ 55% các trường hợp sưng ruột dư
(hơn một nửa một chút) cho những triệu chứng điển hình khiến chúng ta
mau chóng nhận diện được căn bệnh. Trong rất nhiều trường hợp, nó giả
hình che mắt, gây những triệu chứng giống những bệnh khác, nhất là ở trẻ
em dưới 3 tuổi và người trên 60.
Triệu chứng

Lời
kể bệnh của bạn rất quan trọng nhằm giúp bác sĩ định bệnh mau chóng,
nhất là khi diễn tiến của các triệu chứng được bạn mô tả rõ ràng, mạch
lạc. Bạn kể bệnh mơ hồ, chúng ta có thể dắt tay nhau đi lạc đường.
Triệu
chứng đầu tiên của sưng ruột dư luôn luôn là đau bụng. Đau mơ hồ vùng
bụng trên ngay phía giữa hoặc đau quanh rốn (ở đây, chúng ta lại thấy
công dụng của cái rốn, phân chia bụng thành trên, dưới, bên phải, bên
trái, ngoài việc để chúng ta buồn tay bôi dầu cù là). Bạn thấy mắc đi
cầu hoặc thấy muốn đánh hơi (passing flatus) song có làm vậy, đau nó vẫn
không bớt. Bôi dầu cù là cũng chẳng ăn thua. (Mà dầu cù là, dầu xanh
nào có chữa bệnh gì đâu, chỉ làm khổ cái mũi bác sĩ). Bạn đau không
nhiều, kiểu đau quặn thôi (crampy pain) và cái đau nhè nhẹ này kéo dài
khoảng 4 đến 6 tiếng. Nếu bạn là người dễ tính, ít hay than phiền hoặc
đang mải ngủ, có khi bạn cũng chẳng cảm thấy cái đau lúc đầu của sưng
ruột dư. Nhưng khi ruột dư càng
lúc càng sưng, cái đau trở thành rõ rệt, liên tục và cũng nặng hơn, bò
dần về phía vùng bụng dưới bên phải. Khi cử động và ho, bạn thấy đau
thêm. Bạn ăn chẳng ngon miệng tí nào. (Triệu chứng ăn không ngon rất
quan trọng; do thế, nếu bạn vẫn ăn ngon như thường thì chắc không phải
sưng ruột dư rồi.) Bạn có thể cảm thấy buồn nôn hoặc thực sự ói ra thức
ăn song có ói thì cũng không ói dữ lắm như khi bị trúng độc thức ăn
(food poisoning). Thường thì bạn không bị tiêu chảy khi sưng ruột dư.

Đấy
là những triệu chứng điển hình của sưng ruột dư nhưng ôi, đời thường
dành nhiều thử thách cho các bác sĩ vì chỉ 55% các trường hợp sưng ruột
dư cho những triệu chứng điển hình như vậy. Trẻ em, những vị có tuổi và
phụ nữ mang thai sưng ruột dư hay có những triệu chứng chả điển hình tí
nào. Chẳng hạn, trẻ em 11 tháng đến 35 tháng, khi sưng ruột dư thường
hay tiêu chảy và nhiều trẻ dưới 1 tuổi vẫn đòi ăn như thường. Những vị
lớn tuổi, già yếu hay có những triệu chứng mơ hồ, không theo những diễn
tiến như kể trên. Phụ nữ mang thai sưng ruột dư có khi thay vì đau vùng
bụng bên phải phía dưới lại đau bụng vùng bên phải phía trên do tử cung
mang thai đẩy ngược ruột dư ra khỏi vị trí bình thường của nó, lên cao
hơn.
Ngay
với những người trẻ, khỏe mạnh, không mang thai mà sưng ruột dư, trong
nhiều trường hợp, cũng có những triệu chứng không điển hình của căn
bệnh.
Thăm khám

Khi
thăm khám cho bạn, những gì bác sĩ nhận thấy nơi bạn sẽ tùy vào hai yếu
tố: bạn đã có triệu chứng bao lâu và vị trí của cái ruột dư trong bụng
bạn (nó nằm đúng chỗ của nó hoặc nằm thấp sâu phía dưới, nằm cao phía
trên, nằm nấp sau ruột già xa phía đằng sau lưng hoặc cắc cớ nằm ở bụng
dưới bên trái thay vì bên phải).
Khi
ruột dư bị sưng như vậy, lúc bác sĩ sờ nắn bụng bạn, đúng vào chỗ nằm
của cái ruột dư, bạn sẽ cảm thấy đau và bụng bạn chỗ ấy gồng cứng hơn
những chỗ khác. Đau khi bị sờ nắn (tenderness) là dấu chứng quan trọng
vì nếu không có dấu chứng này, ta không thể định được bệnh sưng ruột dư.
Dấu chứng này có thể chưa xuất hiện trong giai đoạn đầu của căn bệnh,
khi bạn mới cảm thấy đau mơ hồ vùng bụng trên hoặc quanh rốn. Khi cái
ruột dư của bạn chơi ngang, nằm nấp sau ruột già (retrocecal appendix)
mãi tận về phía lưng hoặc nằm thấp sâu dưới vùng chậu (pelvic appendix),
bụng bạn có thể chẳng đau tí nào khi sờ nắn nhưng bạn đau khi bác sĩ
đấm đấm phía sau lưng bạn hoặc khi bác sĩ dùng ngón tay khám trực tràng
(rectal examination) và khám vùng chậu của bạn (pelvic examination).

Quan
sát bạn trong tư thế nằm, bác sĩ có thể thấy bạn co chân phải lên, cố
không cử động nhiều bên phải vì đau. Nhiệt độ của bạn bình thường hoặc
hơi tăng một chút (99 đến 100.5 độ F, hoặc 37.2-38 độ C). Nếu bạn sốt
cao trên 103 độ F (39.4 độ C), chết rồi, chắc cái ruột dư của bạn bị
lủng rồi (perforation), mủ đã xì vào trong bụng, đồng thời dính vào các
cơ quan chung quanh đưa đến nhiễm trùng vùng quanh ruột dư hoặc nặng hơn
nữa, nhiễm trùng toàn bụng.
Ruột
dư ít khi bị lủng khi mới sưng trong vòng 24 giờ đầu, ta định được bệnh
và đem đi mổ ngay nhưng dễ bị lủng sau 48 tiếng đồng hồ.
Các thử nghiệm và phim chụp

Định
bệnh sưng ruột dư chính dựa vào lời kể bệnh có duyên, mạch lạc, rõ ràng
của bạn, thêm vào đấy là bàn tay thăm khám của bác sĩ. Các thử nghiệm
không giúp vào sự định bệnh cho lắm song giúp ta loại bỏ nhiều bệnh khác
có thể gây những triệu chứng tương tự như sạn đường tiểu, nhiễm trùng
đường tiểu, thai ngoài tử cung v.v..
Hai
thử nghiệm căn bản cho bất cứ ai đau bụng dưới là “complete blood
count” (viết tắt CBC, xin tạm dịch “đếm máu toàn diện”) và phân tích
nước tiểu (urinalysis). Nếu người đau bụng thuộc phái nữ, ta cần làm
thêm trắc nghiệm thử thai (pregnancy test), xem người phụ nữ có đang
mang bầu hay không.

Thử
nghiệm máu “complete blood count” (CBC) cho thấy các trị số của bạch
cầu (white blood cells), hồng cầu (red blood cells) và các tiểu cầu
(platelets), những loại tế bào chính trong máu. Khi sưng ruột dư, thường
“complete blood count” cho thấy các bạch cầu tăng cao trong máu, khoảng
12.000 đến 15.000 bạch cầu trong mỗi phân khối máu (bình thường, ta có
5.000-10.000 WBC/mm3). Nhưng đến 10% số người sưng ruột dư có số lượng
bạch cầu trong máu hoàn toàn bình thường, nên ta không thể chỉ dựa vào
“complete blood count” để định bệnh hoặc loại trừ sưng ruột dư.
Trong
mẫu nước tiểu được phân tích (urinalysis), nếu ta thấy có nhiều máu
(hematuria) hoặc nhiều tế bào bạch cầu quá (pyuria), chắc bạn không sưng
ruột dư đâu, chỉ bị sạn đường tiểu hoặc nhiễm trùng đường tiểu thôi,
xin mừng cho bạn. Bạn là phái nữ, thử nghiệm thử thai cho thấy bạn có
bầu thì ta nên nghĩ đến bệnh thai ngoài tử cung (ectopic pregnancy) là
vừa, nếu thực bạn không sưng ruột dư.
Một
lần nữa, đời lại vẫn chưa dễ như ta tưởng. Xin lỗi, bạn kể bệnh lơ mơ,
khám đi khám lại, định bệnh vẫn lờ mờ, các thử nghiệm “đếm máu toàn
diện” (complete blood count), phân tích nước tiểu không giúp gì hơn. Và
bạn vẫn còn đau nhiều, chẳng lẽ lại cứ đem bạn đi mổ bừa, mở bụng bạn ra
xem có đúng bạn sưng ruột dư hay không, nếu không thì đóng lại cũng
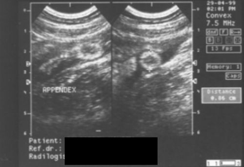
chẳng sao? Có lẽ ta phải nhờ đến các phương pháp siêu âm (ultrasound)
hoặc Cat scan vậy.

Siêu
âm rất chính xác (specific) trong việc xác định bạn không bị sưng ruột
dư, nếu siêu âm cho thấy rõ cái ruột dư của bạn hoàn toàn bình thường,
chả sưng to tí nào cả, ta có thể chắc ăn là bạn không bị sưng ruột dư.
Nhưng độ nhạy (sensitivity) của nó chỉ khoảng 86%, tức nó không khám phá
được 14% các trường hợp thực sự sưng ruột dư.
Gần
đây, người ta thấy phương pháp chụp Cat scan có độ nhạy hơn hẳn siêu
âm, đến 96%, chỉ sót có 4% các trường hợp thực sự sưng ruột dư. Nếu bạn
đau không phải vì sưng ruột dư, Cat scan cũng khám phá những bệnh khác
trong bụng khiến bạn đau hay hơn siêu âm.
Chữa trị

Trong
trường hợp rõ ràng, không còn nghi ngờ gì nữa (bạn kể bệnh có duyên,
mạch lạc, tả đúng diễn tiến của các triệu chứng, bác sĩ khám thấy đúng
là sưng ruột dư), ta nhờ bác sĩ giải phẫu mổ ngay đi thôi, bạn nhé, lấy
cái ruột dư đang làm phiền bạn ra và rồi bạn sẽ thơ thới rời nhà thương,
về lại nhà trong vòng vài ngày.
Sưng
ruột dư, ai cũng có thể bị, đây là việc Trời kêu ai nấy dạ, bạn chẳng
nên buồn bã, ruột dư nó... thừa, cắt đi cũng chả sao. Và nếu mổ đúng
lúc, khi ruột dư chưa bể vỡ, vết mổ sẽ nhỏ thôi, chỉ chừng 3 cm.
Trường
hợp ta còn phân vân chưa rõ, bạn chịu khó... vào nhà thương nằm, để bác
sĩ theo dõi. Cứ độ vài giờ, bác sĩ lại đến thăm bạn, xem các triệu
chứng của bạn tiến triển thế nào và khi khám cho bạn, có thêm những dấu
chứng gì mới. Cứ 4 tiếng, ta làm lại thử nghiệm “đếm máu toàn diện”
(complete blood count) xem lượng bạch cầu trong máu vẫn vậy, hoặc nó từ
từ tăng lên. Nếu càng lúc càng có thêm bằng chứng bạn đúng bị sưng ruột
dư, ta sẽ mổ cắt nó đi trước khi nó bể vỡ, xì mủ vào trong bụng bạn. Còn
may mắn, bạn bớt đau dần, không sưng ruột dư, thường 24 tiếng sau, bác
sĩ sẽ để bạn hân hoan ra về.

Ôi,
cái ruột dư, vì nó mà bao người đã mất mạng hoặc nếu sống sót, cũng bao
biến chứng. Nay tỉ lệ tử vong do sưng ruột dư đã giảm thiểu nhiều
(không đến 1 người mất mạng trong 100 trường hợp sưng ruột dư). Nhờ vào
trình độ y học cao hơn nên bệnh được định ra sớm hơn, kỹ thuật giải
phẫu, gây mê cũng tân tiến hơn trước.